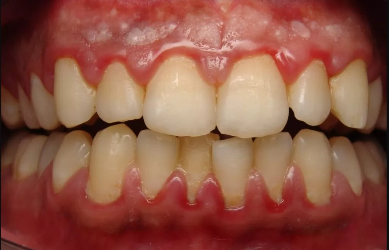
Problemele gingivale sunt frecvente și pot semnala afecțiuni mai grave. Gingiile care sângerează pot fi un indiciu al unor boli sistemice, iar identificarea cauzelor este esențială pentru menținerea sănătății orale și generale.
Printre cele mai comune cauze ale sângerării gingivale se numără gingivita, o inflamație a gingiilor cauzată de acumularea plăcii bacteriene. Aceasta este adesea însoțită de roșeață și umflături, iar dacă nu este tratată, poate evolua spre parodontită, o afecțiune mai severă care afectează structurile de susținere ale dinților.
Pe lângă problemele dentare, sângerarea gingiilor poate fi asociată și cu diverse afecțiuni sistemice. De exemplu, diabetul zaharat poate influența sănătatea orală, iar persoanele cu această boală sunt mai predispuse la infecții gingivale. De asemenea, bolile cardiovasculare au fost corelate cu inflamațiile gingivale, ceea ce sugerează o legătură între sănătatea orală și cea cardiovasculară.
Un alt factor de risc este utilizarea anumitor medicamente, cum ar fi anticoagulantele, care pot provoca sângerări mai ușoare. De asemenea, deficiențele nutriționale, în special lipsa vitaminelor C și K, pot contribui la deteriorarea sănătății gingivale, provocând sângerări frecvente.
Stresul este, de asemenea, un factor care poate afecta sănătatea orală. Persoanele care se confruntă cu niveluri ridicate de stres pot avea obiceiuri mai puțin sănătoase, cum ar fi neglijarea igienei orale sau bruxismul, care poate duce la deteriorarea gingiilor. Este important să se acorde atenție nu doar sănătății fizice, ci și celei mentale, pentru a preveni astfel de probleme.
În concluzie, sângerarea gingiilor nu trebuie ignorată, deoarece poate fi un semn al unor afecțiuni mai grave. Consultarea unui medic stomatolog este esențială pentru a determina cauza și a primi tratamentul adecvat. Menținerea unei igiene orale riguroase și adoptarea unui stil de viață sănătos sunt pași importanți pentru prevenirea acestor probleme.
Când n-avem chef de scris, punem inteligența artificială la treabă. Articol generat automat cu AI, în cadrul unui proiect experimental. Articolul poate conține erori, pentru care ne cerem scuze.



No responses yet